大家睇到呢篇blog時相信已經係一個月後嘅事,係我哋傳統中國人心目中,話晒都要滿三個月先可以公告天下嘛~但要原汁原味,都係要馬上寫至得﹗之前已經心思思要記低七上八落嘅心情,但連自己都唔敢確認baby可以成長時,我都唔敢動筆(準確啲講應該係動手指type type type)~今日見到BB呱,見到佢實實在在嘅心跳,更加感覺到你係我入面了﹗
有好長時間見到人哋post啲BB相or懷孕公告非常生氣+唔抵得,事關試過兩次小產嘅我,對於自己係咪可以陀到baby實在唔係太有信心,呢件事當然只有少數朋友知道啦~第二次小產後,人可以做到嘅嘢我都盡量做了,堅持睇中醫調理身體飲咗半年中藥啦(大家要知道我細個時飲廿四味係10步之內係人哋涼茶鋪外面即嘔的),轉返part-time啦(收入大幅少三分之二),棄絕我最愛嘅冰品凍飲and減少煎炸junk food啦,積極做運動減咗3kg啦(雖然本來希望更多)⋯剩低落嚟嘅就係不住祈禱不住祈禱了~
去完夏威夷返來到留意住身體變化,胸又谷谷地,expect經期日子就即刻驗驗了﹗好嘢,positive﹗﹗﹗不過我都唔會開心得太盡情,因為positive嘅驗孕棒我已經係第三次握係手上了,最重要係長大到長大到~令人進一步沮喪嘅係一個星期後有少量spotting(又﹗﹗唉~),繼續憑(不太夠的)信心同盼望禱告,忍耐唔容易過嘅時間,等候今日嘅來臨﹗
positive的驗孕棒﹗﹗
期間感覺有希望嘅係PT+ve後兩星期左右第一次有少少噁心嘅感覺,莫非呢啲就係傳說中嘅morning sickness?﹗之前兩次都未進展到呢個地步,對我哋講都只係書本上學過同聽過發生係人哋身上嘅事~直到而家我從來都未真真正正嘔過,但我同day稱之為「悶悶快樂」,詞語應該係悶悶不樂嘛,但「快樂」係因為懷孕發展良好啲荷爾蒙先會上升得好,當冇乜悶悶時就變成不樂了⋯真係令人心情沉重⋯特別係到中醫師覆診時佢話開啲等我冇咁噁心嘅藥俾我,oops,究竟少咗悶悶係啲藥好有效定係baby有咩問題呢?
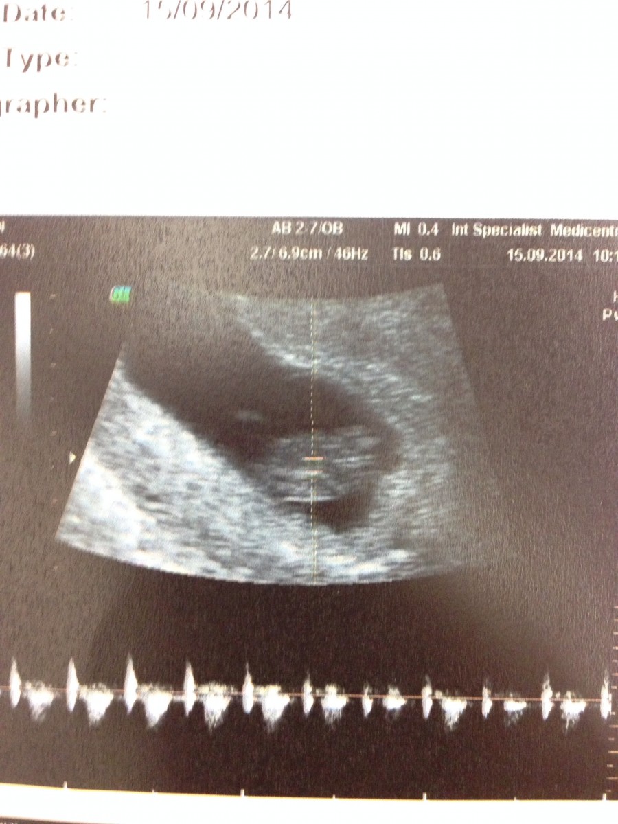
直至PT+ve後四星期後嘅婦產科醫生appointment,解答了﹗
佢安好呀~1.72cm,有心跳了﹗雖然係mon上面嘅BB呱依然係一團白色嘅東東,但我哋聽到佢每分鐘150下左右嘅「噗通噗通噗通⋯」時,感覺好實在~感謝主﹗﹗悶悶唔係我想像出來的,你真係成長緊丫﹗我要更注意飲食、更注意休息、更用心飲藥了,你要生生性性呀~媽媽錫錫﹗chu~
前往其他懷孕扎記blog


第一次聽到BB的心跳聲,感覺真的很神奇!
一個創造生命的program start了!!
我們可親身去欣賞,去經歷這奇蹟,很感恩啊! :)
是啊﹗噗噗噗噗噗咁,我只由人哋個肚子度聽過,自己嘅第一次都零舍唔同呢﹗
我哋要多啲禱告帳幕~
人人都知悶悶自然不樂,原來也可以有「悶悶快樂」這回事。不期然想起最近上網聽清華大學《生命科學》的課,講到喜極而泣與傷心落淚,兩種淚水可以有不同氣味,相熟的人是能夠辨別出來的。
哇,可以有咁複雜嘅延伸閱讀㗎?﹗heehee,此「悶」不同彼「悶」嘛~